すずめ歯科
宮城県仙台市太白区八木山本町1丁目13-6 動物公園前医療モール2F
医院情報
最寄駅
仙台市営地下鉄東西線 八木山動物公園駅
エリア宮城県仙台市
院長鈴木 宏治
休診日木曜・日曜・祝日(祝日のある週は木曜診療)
診療時間
月
火
水
金
土
9:00~12:00、14:00~17:30
このクリニックは未調査です
歯並び探偵へ調査依頼をする分析結果
- 技術力?
- 料金?
- サービス?
- 子供の矯正?
- 20代の矯正?
- 30代以上の矯正?
- 表側矯正?
- 裏側矯正?
- マウスピース矯正?
- 部分矯正?
症例・実績
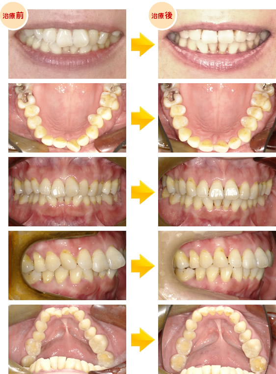
※すずめ歯科ホームページより引用
引用元URL:https://www.suzumeshika.com/caserecords/index.htmlinvisalign Go
上下の前歯の重なりが気になっている患者さんです。invisalign Goによる治療を強く希望されており、どのような治療かも理解されていたため、スムーズに治療を開始しました。マウスピースの矯正治療は、患者さんがしっかりと使っていただけないとうまくいかないのですが、時間もしっかりと守ってマウスピースを使っていただいたので、短期間で治療が終了しました。本人が気にされていた、上の前歯の捻れている部分も改善され、とても満足されていました。
【副作用、リスク等】
歯のスペースを作るために歯の間を0.5mm以内で削ることがあります。
効率的に動かすために、歯の表面に歯の色と同じ素材でボタンのようなものをつけることがあります。
所定の時間使用しないと予定通り動かない可能性があります。
歯を動かしている間、治療完了後の一定期間は歯が少しぐらぐらすることがあります。
矯正中は少し痛みがあります。
歯と骨が癒着している場合、歯が動いてくれないことがあります。
透明に近いマウスピース型矯正装置(アライナー)なので従来のワイヤーを用いた矯正装置に比べて目立ちにくい。
『取り外しが可能な』矯正治療
マウスピース型の矯正装置は金属のワイヤーやブラケットを使用しないため口の中を傷つける心配はありません。
1ヶ月~3ヶ月毎の通院となり、『通院回数の少ない』矯正治療
自費診療(保険適用外)簡易診断 \0 / 精密診断+クリンチェック \20,000(税込) / 装置代(リテーナー、毎月のチェック代込み) \348,000(税込)
補足情報
-
医療機関コード
-
クレジットカード
-
デンタルローン
-
-
院内分割制度
-
-
駐車場
-
-
外国語対応
-
セカンドオピニオン
