杉山歯科医院

杉山歯科医院

宮城県仙台市青葉区上杉4-1-47

医院情報

最寄駅

仙台市営地下鉄南北線 勾当台公園駅

エリア宮城県仙台市

院長杉山 豊

休診日日曜日・祝日

診療時間

9:00~19:00

9:00~17:00

9:00~13:00

このクリニックは未調査です

歯並び探偵へ調査依頼をする

分析結果

  • 技術力?
  • 料金?
  • サービス?
  • 子供の矯正?
  • 20代の矯正?
  • 30代以上の矯正?
  • 表側矯正?
  • 裏側矯正?
  • マウスピース矯正?
  • 部分矯正?
クリニックのHPを見る
CASE

症例・実績

※杉山歯科医院ホームページより引用
引用元URL:https://www.sugiyama-dental.jp/case/ortho-basshi-case

抜歯をしない矯正治療症例7

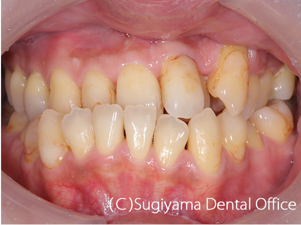
術前症例写真
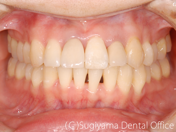
術後症例写真
症例写真
症例写真
症例写真
症例写真

上の歯は1本後ろに生えていたうえに、下あごが出ていた男性の患者さんです。
顎の手術や抜歯をせずに矯正治療を終えることができました。

抜歯をしない矯正治療症例6

術前症例写真
術後症例写真
症例写真
症例写真

下のあごが極端に後ろに引っ込んでいたために、口を閉じた状態だと下くちびるが薄くなり、ほとんど見えない状態だった女性の患者さんです。
かみ合わせの位置を移動させるように矯正治療を行って、正常なかみ合わせを獲得しました。
顔写真はお見せできませんが、上下でバランスが取れたくちびるの厚さになり、とてもきれいな顔立ちになりました。

抜歯をしない矯正治療症例5

術前症例写真
術後症例写真
症例写真
症例写真
症例写真
症例写真
症例写真
症例写真

「口が開けにくい」「顎が疲れる」「顎が外れる」などの症状で悩んでいた女性の患者さんです。
上の前歯が内側に入り込んでいたために、下あごが後ろに追いやれるために顎関節症をわずらっていました。
データに基づいた噛みあわせの位置を設定し、歯の位置、角度を変えて顎の位置と調和した歯並び、噛みあわせになりました。

詳しくは「院長のブログ」をご参照ください。

抜歯をしない矯正治療症例4

術前症例写真
術後症例写真
症例写真
症例写真
症例写真
症例写真

前歯を綺麗にしてほしいということで来院した女性の患者さんです。
親知らずは抜歯しましたが、そのほかは1本も歯を抜かずに矯正治療を仕上げました。
変色が著しかった前歯2本はオールセラミッククラウンで治しました。
歯が綺麗になったことで、笑顔がさらに美しくなりました。

抜歯をしない矯正治療症例3

術前症例写真
術後症例写真
症例写真
症例写真
症例写真
症例写真

10歳の女性です。 術前写真を見ると、上の前歯2本が内側に傾斜していることがわかります(丸印)。 このような歯の傾斜によって下のあごの位置が奥に押し込まれ顎関節症になる方が少なくありません。
術後1年後には綺麗な歯並びになっただけでなく、機能的なあごの運動ができるようになりました。

INFO

補足情報

  • 医療機関コード

  • クレジットカード

  • デンタルローン

    -

  • 院内分割制度

    -

  • 駐車場

    -

  • 外国語対応

  • セカンドオピニオン

RESERVATION
このクリニックを予約