仙台セラミック矯正歯科
宮城県仙台市宮城野区榴岡2丁目1-20 HPビル2階
医院情報
最寄駅
JR仙山線 仙台駅
エリア宮城県仙台市
院長松山 一虎
休診日水曜・木曜
診療時間
月
火
金
土
日
祝
10:00〜19:00
このクリニックは未調査です
歯並び探偵へ調査依頼をする分析結果
- 技術力?
- 料金?
- サービス?
- 子供の矯正?
- 20代の矯正?
- 30代以上の矯正?
- 表側矯正?
- 裏側矯正?
- マウスピース矯正?
- 部分矯正?
CASE
症例・実績
※仙台セラミック矯正歯科ホームページより引用
引用元URL:https://www.sendai-dentalceramic.com/photo/#invizaインビザライン治療の症例写真
実際にインビザライン治療を受けられた方の症例写真を掲載しています。
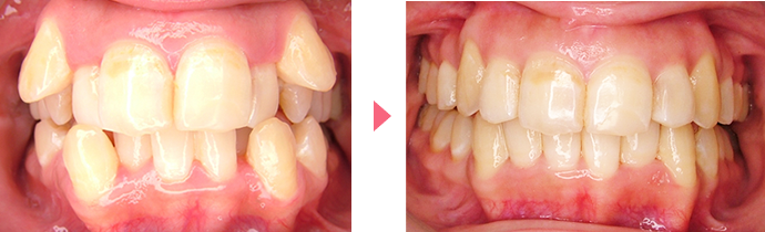
治療をご検討の方はぜひご参考くださいませ。治療前治療後
- 施術名:
- マウスピース矯正
- 施術の説明:
- 歯科矯正でも目立ちにくい新しい矯正方法です。透明に近いマウスピース型の矯正装置(アライナー)のため、歯に装着しても目立つことなく歯並びを矯正することが出来ます。また、一人ひとりの合わせて矯正装置を作製いたします。
- 施術の副作用(リスク):
- 疼痛・咬合時痛を生じる事があります。継続使用により緩んだり、外れやすくなる事があります。割れたり壊れたりする事があります。
- 施術の価格:
- 427,600円~822,800円
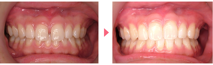
治療前治療後
- 施術名:
- マウスピース矯正
- 施術の説明:
- 歯科矯正でも目立ちにくい新しい矯正方法です。透明に近いマウスピース型の矯正装置(アライナー)のため、歯に装着しても目立つことなく歯並びを矯正することが出来ます。また、一人ひとりの合わせて矯正装置を作製いたします。
- 施術の副作用(リスク):
- 疼痛・咬合時痛を生じる事があります。継続使用により緩んだり、外れやすくなる事があります。割れたり壊れたりする事があります。
- 施術の価格:
- 427,600円~822,800円
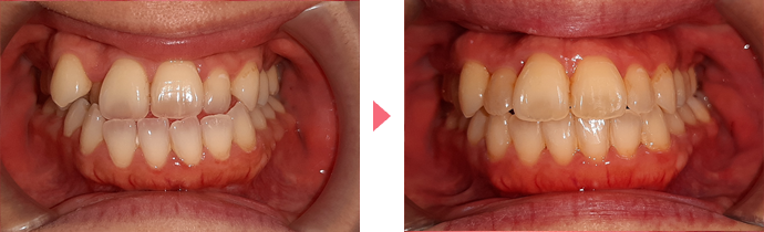
治療前治療後
- 施術名:
- マウスピース矯正
- 施術の説明:
- 歯科矯正でも目立ちにくい新しい矯正方法です。透明に近いマウスピース型の矯正装置(アライナー)のため、歯に装着しても目立つことなく歯並びを矯正することが出来ます。また、一人ひとりの合わせて矯正装置を作製いたします。
- 施術の副作用(リスク):
- 疼痛・咬合時痛を生じる事があります。継続使用により緩んだり、外れやすくなる事があります。割れたり壊れたりする事があります。
- 施術の価格:
- 427,600円~822,800円
治療前治療後
- 施術名:
- マウスピース矯正
- 施術の説明:
- 歯科矯正でも目立ちにくい新しい矯正方法です。透明に近いマウスピース型の矯正装置(アライナー)のため、歯に装着しても目立つことなく歯並びを矯正することが出来ます。また、一人ひとりの合わせて矯正装置を作製いたします。
- 施術の副作用(リスク):
- 疼痛・咬合時痛を生じる事があります。継続使用により緩んだり、外れやすくなる事があります。割れたり壊れたりする事があります。
- 施術の価格:
- 427,600円~822,800円
治療前治療後
- 施術名:
- マウスピース矯正
- 施術の説明:
- 歯科矯正でも目立ちにくい新しい矯正方法です。透明に近いマウスピース型の矯正装置(アライナー)のため、歯に装着しても目立つことなく歯並びを矯正することが出来ます。また、一人ひとりの合わせて矯正装置を作製いたします。
- 施術の副作用(リスク):
- 疼痛・咬合時痛を生じる事があります。継続使用により緩んだり、外れやすくなる事があります。割れたり壊れたりする事があります。
- 施術の価格:
- 427,600円~822,800円
INFO
補足情報
-
医療機関コード
-
クレジットカード
-
デンタルローン
-
-
院内分割制度
-
-
駐車場
-
-
外国語対応
-
セカンドオピニオン
RESERVATION
このクリニックを予約




