山口歯科医院
岩手県八幡平市大更第35地割63-44
医院情報
最寄駅
十和田八幡平四季彩ライン 大更駅
エリア岩手県八幡平市
休診日日曜・祝日
診療時間
月
火
水
金
09:30~13:00、14:30~18:30
木
土
09:30~13:00
このクリニックは未調査です
歯並び探偵へ調査依頼をする分析結果
- 技術力?
- 料金?
- サービス?
- 子供の矯正?
- 20代の矯正?
- 30代以上の矯正?
- 表側矯正?
- 裏側矯正?
- マウスピース矯正?
- 部分矯正?
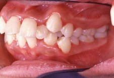
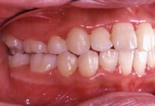
CASE
症例・実績
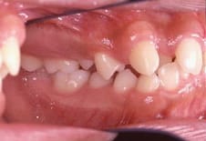
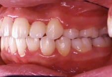
※山口歯科医院ホームページより引用
引用元URL:https://www.yama-dc1.com/kyosei「八重歯」「乱抗歯」
歯と歯が重なり合っている。
「八重歯」「乱抗歯」の事例です。過蓋咬合初診時 15才8ヶ月
平成9年5月MBS装着
平成12年1月MBC撤去
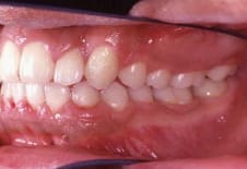
矯正治療完了18才4ヶ月「上顎前突」
上の歯が下の歯より出ている、噛み合わせの事例
過蓋咬合初診時13才7ヶ月
平成11年12月MBS装着
平成15年1月MBC撤去4ヶ月
矯正治療完了16才8ヶ月
INFO
補足情報
-
医療機関コード
-
クレジットカード
-
デンタルローン
-
-
院内分割制度
-
-
駐車場
-
-
外国語対応
-
セカンドオピニオン
RESERVATION
このクリニックを予約











