いとう矯正歯科クリニック

いとう矯正歯科クリニック

岩手県奥州市水沢桜屋敷701

医院情報

最寄駅

JR東北本線(黒磯~利府・盛岡) 水沢駅

エリア岩手県奥州市

院長伊東 利晃

休診日月曜・祝日

診療時間

10:00~13:00、15:00~19:30

09:00~12:30、14:00~18:00

このクリニックは未調査です

歯並び探偵へ調査依頼をする

分析結果

  • 技術力?
  • 料金?
  • サービス?
  • 子供の矯正?
  • 20代の矯正?
  • 30代以上の矯正?
  • 表側矯正?
  • 裏側矯正?
  • マウスピース矯正?
  • 部分矯正?
クリニックのHPを見る
CASE

症例・実績

※いとう矯正歯科クリニックホームページより引用
引用元URL:http://www.ito-kyousei.com/case.html

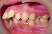
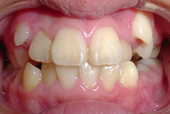
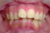
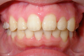
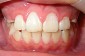
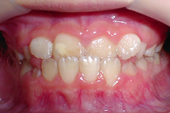
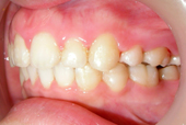
● 叢生(でこぼこ)

永久歯を抜かないで治療しました

症例写真
治療前
症例写真
治療後
症例写真
治療前
症例写真
治療後

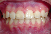
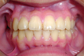
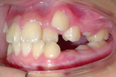
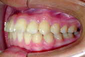
● 上顎前突(出っ歯)

上下左右の小臼歯を抜歯しました

症例写真
治療前
症例写真
治療後
症例写真
治療前
症例写真
治療後

● 下顎然突(受け口、反対咬合)

第二期治療の必要はありませんでした。

症例写真
治療前
症例写真
治療後

● 開咬(上下の前歯がかみ合わない)

指しゃぶりの癖を治しました

症例写真
治療前
症例写真
治療後
INFO

補足情報

  • 医療機関コード

  • クレジットカード

  • デンタルローン

    -

  • 院内分割制度

    -

  • 駐車場

    -

  • 外国語対応

  • セカンドオピニオン

RESERVATION
このクリニックを予約
いとう矯正歯科クリニック

いとう矯正歯科クリニック

電話番号 0197-51-7775 電話で予約する