坂井おとなこども歯科
宮城県石巻市中里3丁目1-11
医院情報
最寄駅
JR仙石線 陸前山下駅
JR石巻線 石巻駅
エリア宮城県石巻市
院長坂井 清隆
休診日水曜・日曜・祝日
診療時間
月
火
木
金
土
9:00~17:00
このクリニックは未調査です
歯並び探偵へ調査依頼をする分析結果
- 技術力?
- 料金?
- サービス?
- 子供の矯正?
- 20代の矯正?
- 30代以上の矯正?
- 表側矯正?
- 裏側矯正?
- マウスピース矯正?
- 部分矯正?
CASE
症例・実績
※坂井おとなこども歯科ホームページより引用
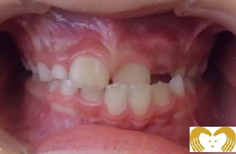
引用元URL:https://www.ortho-sakaiclinic.jp/16703140325782症例01:交叉咬合
《Before》《After》
- 年齢:
- 7~12歳
- 性別:
- 女の子
- 治療内容:
- ネオキャップシステムによる、交叉咬合の治療
- 治療回数・期間:
- 約5年間
- 治療費:
- 495,000円(税込)
- リスク:
- 取り外し可能な装置の為、治療の効果が使用頻度に左右されます。
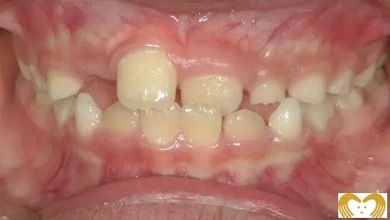
症例02:交叉咬合
《Before》
《After》
- 年齢:
- 7~12歳
- 性別:
- 女の子
- 治療内容:
- ネオキャップシステムによる、交叉咬合の治療
- 治療回数・期間:
- 約5年間
- 治療費:
- 495,000円(税込)
- リスク:
- 取り外し可能な装置の為、治療の効果が使用頻度に左右されます。
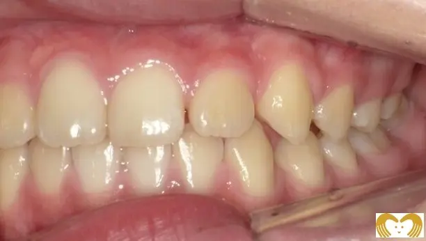
症例03:出っ歯
《Before》《After》
- 年齢:
- 8~12歳
- 性別:
- 男の子
- 治療内容:
- ネオキャップシステムによる、上顎前突(出っ歯)の治療。矯正前後のレントゲン比較から、気道(黄色矢印部分)が広くなっていることがわかります。現在は、当初見られた口呼吸も改善され、自然と鼻呼吸ができるようになりました。
- 治療回数・期間:
- 約4年間
- 治療費:
- 495,000円(税込)
- リスク:
- 取り外し可能な装置の為、治療の効果が使用頻度に左右されます。
INFO
補足情報
-
医療機関コード
-
クレジットカード
-
デンタルローン
-
-
院内分割制度
-
-
駐車場
-
-
外国語対応
-
セカンドオピニオン
RESERVATION
このクリニックを予約









