石井歯科矯正歯科医院
宮城県仙台市宮城野区福室3丁目2-48
医院情報
最寄駅
JR仙石線 陸前高砂駅
エリア宮城県仙台市
院長石井 清和
休診日水曜・日曜・祝日
診療時間
月
9:30~12:30
火
木
金
9:30~12:30、14:00~19:00
このクリニックは未調査です
歯並び探偵へ調査依頼をする分析結果
- 技術力?
- 料金?
- サービス?
- 子供の矯正?
- 20代の矯正?
- 30代以上の矯正?
- 表側矯正?
- 裏側矯正?
- マウスピース矯正?
- 部分矯正?
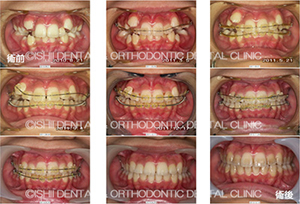
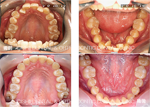
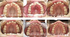
CASE
症例・実績
※石井歯科矯正歯科医院ホームページより引用
引用元URL:https://ishiisika.com/叢生・八重歯・側切歯交叉咬合
1 ワイヤー矯正
2 ワイヤー矯正
叢生・八重歯・側切歯交叉咬合
叢生・八重歯・すきっ歯
叢生・中切歯の捻転・側切歯の捻転
矯正治療には、いくつかのリスクと副作用が有ります。
矯正治療をお考えの方は、下記の記事をご参照ください。
「矯正歯科治療で生じうるリスクや副作用について」(クリックHere)子供の矯正治療をスタートする目安 その 1
「生え代わりの時期が来ても、上顎の乳前歯の間に隙間(発育空隙)がない時」
(クリックHere)
INFO
補足情報
-
医療機関コード
-
クレジットカード
-
デンタルローン
-
-
院内分割制度
-
-
駐車場
-
-
外国語対応
-
セカンドオピニオン
RESERVATION
このクリニックを予約




