ぬかつか矯正歯科クリニック
宮城県仙台市宮城野区榴岡4丁目5-5 KTビル4F
医院情報
最寄駅
仙台市営地下鉄東西線 宮城野通駅
JR東北本線(黒磯~利府・盛岡) 仙台駅
エリア宮城県仙台市
院長糠塚 世毅
休診日月曜・金曜・祝日
診療時間
火
水
木
11:00~19:00
土
日
10:00~19:00
このクリニックは未調査です
歯並び探偵へ調査依頼をする分析結果
- 技術力?
- 料金?
- サービス?
- 子供の矯正?
- 20代の矯正?
- 30代以上の矯正?
- 表側矯正?
- 裏側矯正?
- マウスピース矯正?
- 部分矯正?
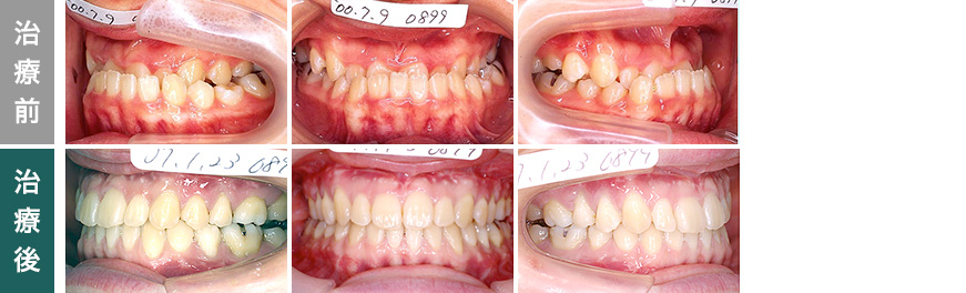
症例・実績
※ぬかつか矯正歯科クリニックホームページより引用
引用元URL:https://www.nukatsuka-kyousei.com/treatment/case出っ歯(上顎前突)
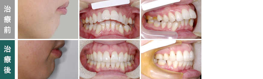
上顎前歯が下顎前歯よりも前に出ている状態が「出っ歯」です。見た目が悪くなるだけでなく、噛み合わせや歯磨きなどの問題も生じます。
矯正治療で歯を動かして、きれいな歯並びと正常な噛み合わせを実現します。>>詳しくはこちら受け口(下顎前突)
下顎前歯が上顎前歯よりも前に出ている状態を「受け口」といいます。見た目が悪くなるだけでなく、噛み合わせや歯磨きなどの問題も生じます。
矯正治療で歯を動かして、きれいな歯並びと正常な噛み合わせを実現します。>>詳しくはこちら凸凹
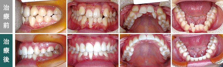
お口の歯並びが凸凹している状態を「叢生」といいます。叢生があると、見た目が悪くなるだけでなく、噛み合わせや歯磨きの問題も生じます。
矯正治療で歯を動かして、きれいな歯並びと正常な噛み合わせを実現します。
>>詳しくはこちら開咬
歯並びの開咬とは、上下の歯が噛み合わずに、歯と歯の間に隙間がある状態です。
見た目が悪くなるだけでなく、咬み合わせや歯磨きなどの問題も生じることがあります。
矯正治療で歯を動かして、きれいな歯並びと正常な噛み合わせを実現します。>>詳しくはこちら外科矯正治療
歯並びや咬み合わせの状態が悪い場合に、歯だけでなく、あごの骨や骨格そのものを動かす治療です。
矯正治療だけでは改善できない場合に選択されます。>>詳しくはこちら
補足情報
-
医療機関コード
-
クレジットカード
-
デンタルローン
-
-
院内分割制度
-
-
駐車場
-
-
外国語対応
-
セカンドオピニオン




