仙台東口矯正歯科
宮城県仙台市宮城野区名掛丁205-5-1F
医院情報
最寄駅
JR仙山線 仙台駅
エリア宮城県仙台市
院長堀内 淳
休診日月曜・祝日
診療時間
火
水
木
金
10:00~13:00、14:30~18:30
土
日
9:30~13:00、14:30~18:00
このクリニックは未調査です
歯並び探偵へ調査依頼をする分析結果
- 技術力?
- 料金?
- サービス?
- 子供の矯正?
- 20代の矯正?
- 30代以上の矯正?
- 表側矯正?
- 裏側矯正?
- マウスピース矯正?
- 部分矯正?
CASE
症例・実績
※仙台東口矯正歯科ホームページより引用
引用元URL:https://www.sendai-ortho.com/case/過大なOverjetとオトガイ左側偏位を伴った骨格II級抜歯症例
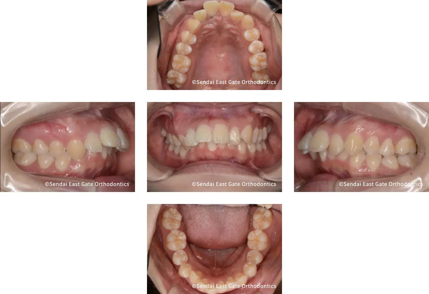
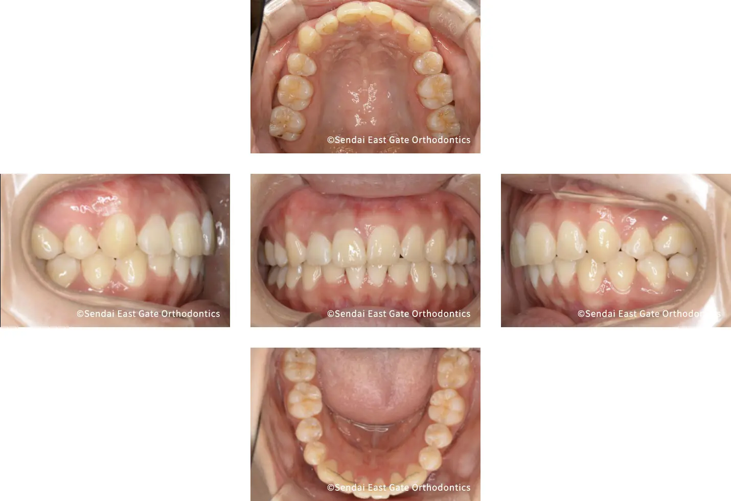
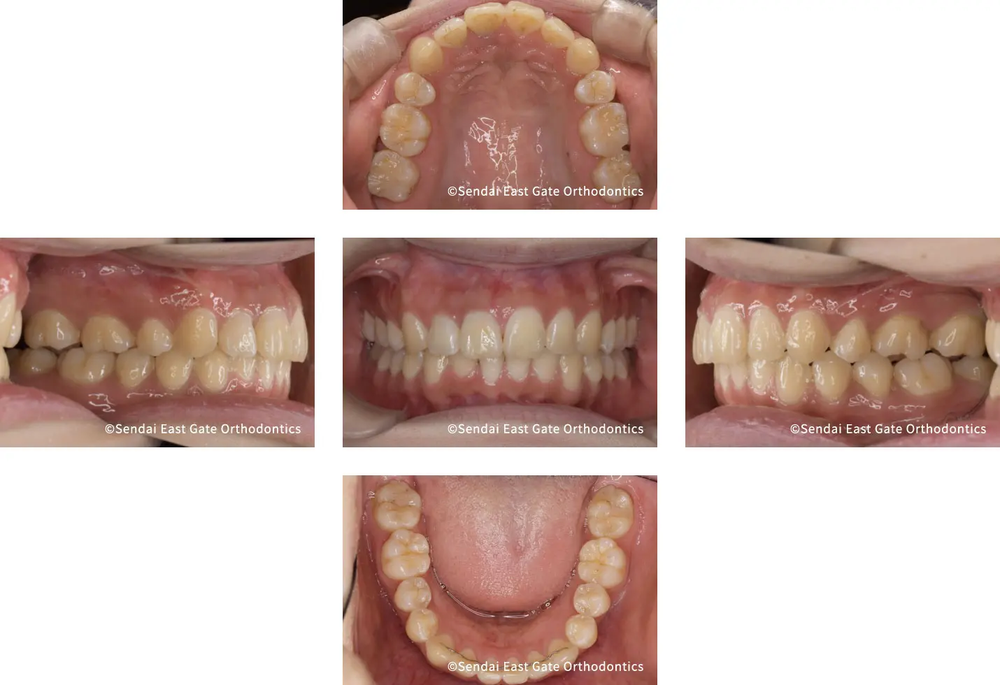
- 主訴
- 上の歯が出ている(出っ歯)ので治したい。
- 年齢・性別
- 23歳成人女性 R.T様
- 治療に用いた主な装置
- マルチブラケット
- 抜歯部位
- 上顎左右4番
- 治療期間
- 2年7ヵ月
- 治療回数
- 50回
- 治療費
- 100万円~120万円
- 治療内容
- 上顎前歯部の前突感が強く上顎前歯が重度に唇側傾斜し、上顎前歯の舌側移動距離が大きかったため、上顎前歯部の歯根吸収が発生するリスクが懸念されました。できるだけゆっくりと弱い矯正力での舌側移動により、歯根吸収が発生するリスクが低くなるように矯正治療を行ないました。
- この治療におけるリスク・副作用
- 歯肉退縮・歯根吸収
〇治療前
〇治療中
〇治療後
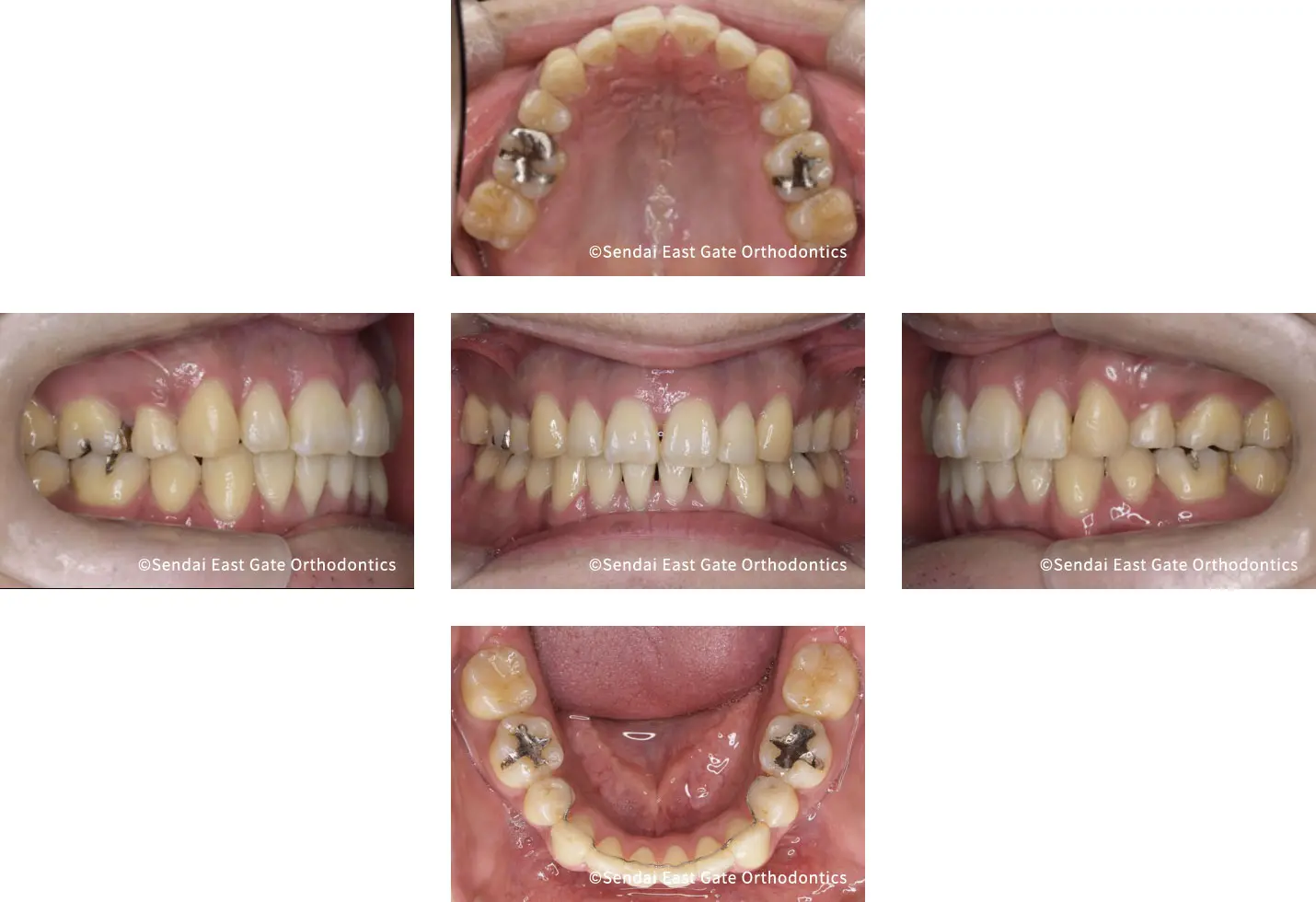
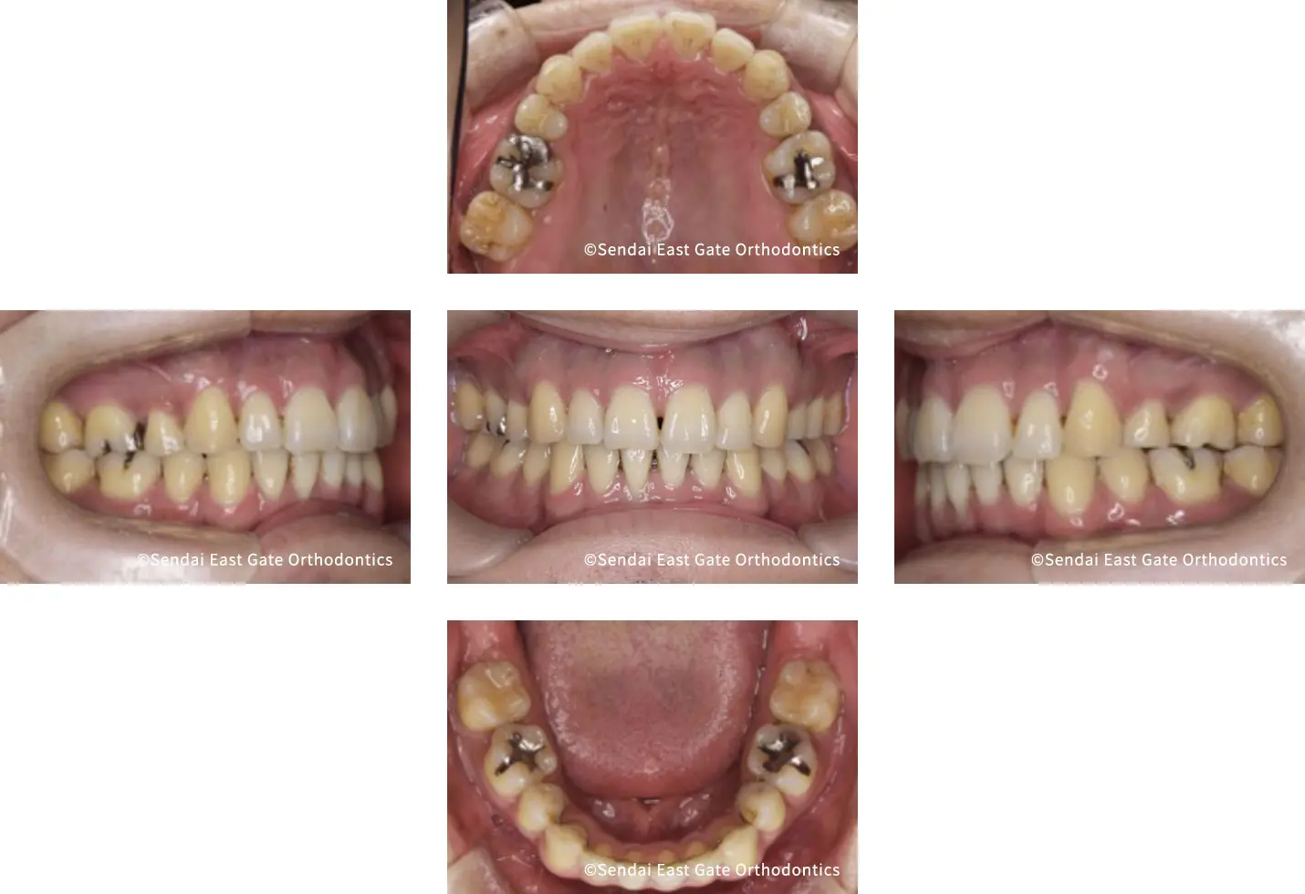
過大なOverjetと上下顎前歯唇側傾斜および上下顎歯列に叢生を伴う上下顎前突抜歯症例
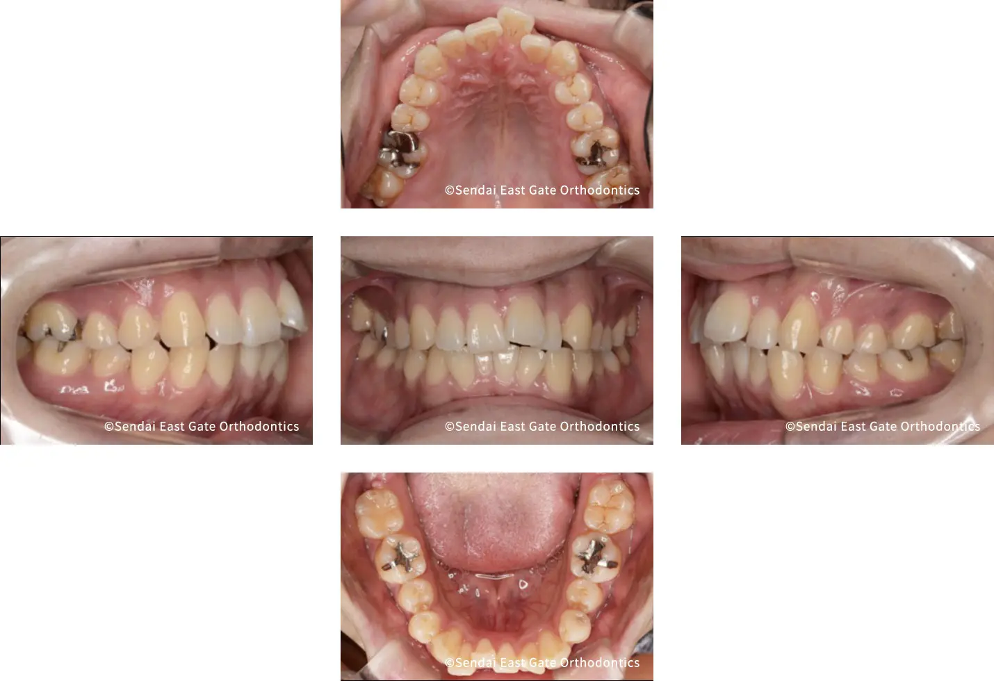
- 主訴
- 凸凹歯、交通事故後に、以前より歯並びが急激に悪くなった気がする。上の前歯が出ていて口が閉じづらい。
- 年齢・性別
- 29歳成人男性 M.N様
- 治療に用いた主な装置
- マルチブラケット
- 抜歯部位
- 上顎左右4番、下顎左右5番
- 治療期間
- 2年7ヵ月
- 治療回数
- 69回
- 治療費
- 90万円~110万円
- 治療内容
- 上下顎前歯部が唇側傾斜をともないながら前方に突出している影響で、上下口唇部の前突感が存在しました。また軽度のオトガイ後退、軽度ハイアングル傾向が存在するため、可及的に下顎骨の後下方回転が発生するリスクが存在しました。2本の歯科矯正用アンカースクリューを固定源として、上顎大臼歯部に圧下移動および遠心移動を目的とした動的治療を開始しました。
- この治療におけるリスク・副作用
- 下顎骨の後下方回転の発生
〇治療前
〇治療中
〇治療後
INFO
補足情報
-
医療機関コード
-
クレジットカード
-
デンタルローン
-
-
院内分割制度
-
-
駐車場
-
-
外国語対応
-
セカンドオピニオン
RESERVATION
このクリニックを予約





