盛岡となん歯科・こども矯正歯科
岩手県盛岡市三本柳7地割13-8
医院情報
最寄駅
JR東北本線(黒磯~利府・盛岡) 岩手飯岡駅
エリア岩手県盛岡市
院長山田 優貴
休診日日曜
診療時間
月
火
水
木
金
土
09:00~12:30、13:30~17:30
このクリニックは未調査です
歯並び探偵へ調査依頼をする分析結果
- 技術力?
- 料金?
- サービス?
- 子供の矯正?
- 20代の矯正?
- 30代以上の矯正?
- 表側矯正?
- 裏側矯正?
- マウスピース矯正?
- 部分矯正?
CASE
症例・実績
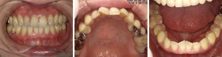
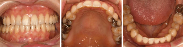
※盛岡となん歯科・こども矯正歯科ホームページより引用
引用元URL:https://tonandc.com/blog/1858/さて!
今回のインビザライン矯正のブログテーマは・・・
『気になる歯のがたつきをインビザラインで改善した症例』
について報告をさせていただきます!施術前の写真がこちら
そして7ヶ月半の術後はこちら
短期間で歯のがたつきが改善されました
この症例では、歯を抜いたりせず、IPR(主に歯と歯の間を削る処置)をおこなっております
「IPR」の説明はこちらから
INFO
補足情報
-
医療機関コード
-
クレジットカード
-
デンタルローン
-
-
院内分割制度
-
-
駐車場
-
-
外国語対応
-
セカンドオピニオン
RESERVATION
このクリニックを予約

