安藤歯科医院

安藤歯科医院

岩手県盛岡市盛岡駅前通8-3 ANDOビル1F

医院情報

最寄駅

JR田沢湖線 盛岡駅

エリア岩手県盛岡市

院長安藤 歩

休診日木曜・日曜・祝日

診療時間

09:00~17:30

このクリニックは未調査です

歯並び探偵へ調査依頼をする

分析結果

  • 技術力?
  • 料金?
  • サービス?
  • 子供の矯正?
  • 20代の矯正?
  • 30代以上の矯正?
  • 表側矯正?
  • 裏側矯正?
  • マウスピース矯正?
  • 部分矯正?
クリニックのHPを見る
CASE

症例・実績

※安藤歯科医院ホームページより引用
引用元URL:https://www.and-o.com/content/case/289/

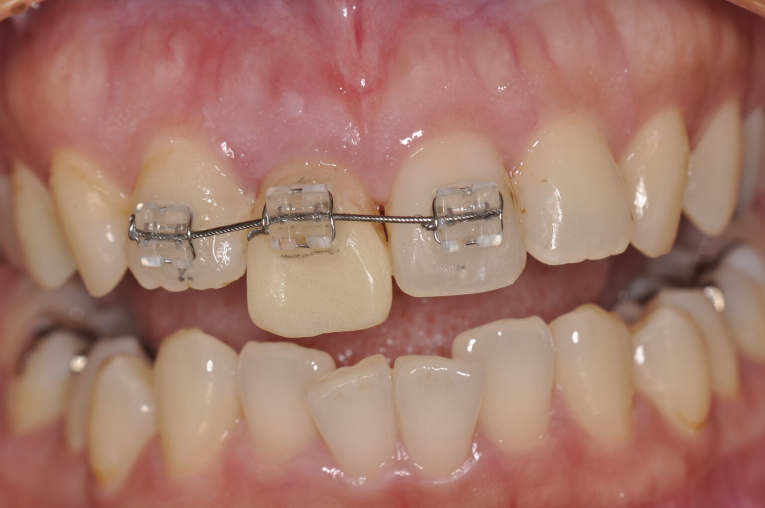
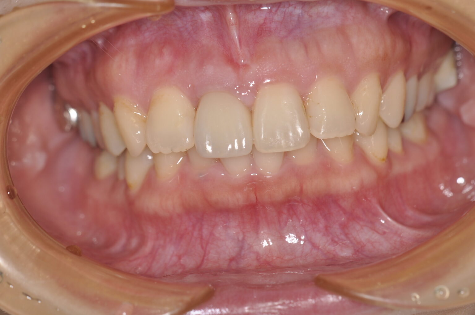
20代女性 歯根破折のためエクストルージョンを行った審美補綴症例

近くの歯科医院に行ったら、抜歯してインプラントですよ。違う方法で治療法がないか相談に来た患者さん

BEFORE症例写真
AFTER症例写真
症例写真
破折線が見えます。
症例写真
後戻りも考え挺出を
オーバー目に。
症例写真
歯周外科後に保定
担当医
Dr. ayumi ando   
主訴
歯根破折と言われたが歯を残したい   
診断名/主な症状
右上1歯根破折   
治療内容
エクストルージョン 挺出
歯周外科
審美補綴治療   
使用装置
ブラケット装置   
治療期間
6ヶ月   
通院回数
10回   
費用
25万円   
INFO

補足情報

  • 医療機関コード

  • クレジットカード

  • デンタルローン

    -

  • 院内分割制度

    -

  • 駐車場

    -

  • 外国語対応

  • セカンドオピニオン

RESERVATION
このクリニックを予約